Before and After…
-
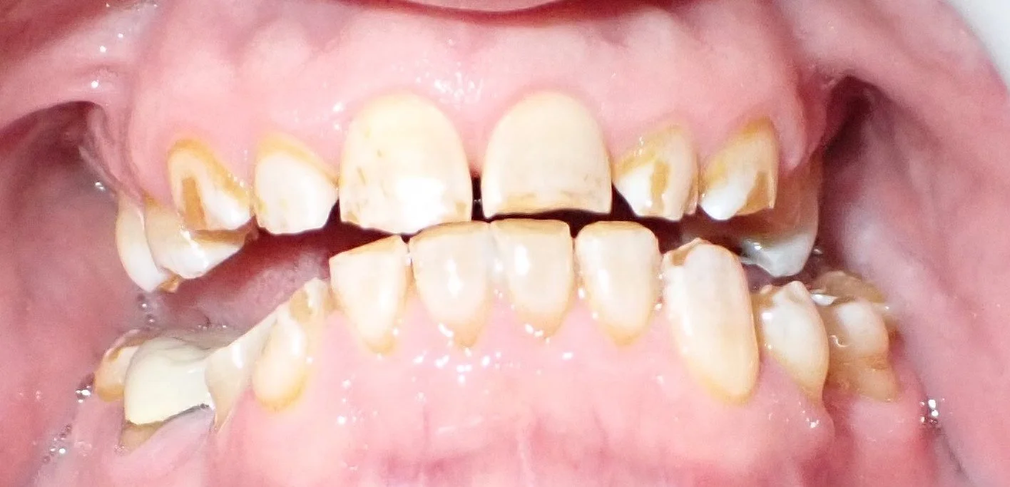
Before Build-Up and Crowns I
This patient Hereditary Enamel Hypoplasia. Meaning, their teeth have always had extremely weak (and in some areas non existent) enamel. Their body just didn’t provide their teeth with the minerals needed to strengthen and protect them. Because if this, their teeth have severely broken down. Patient presented to us with teeth so worn, you can see the pulp (or nerve) of the tooth through the biting surface.
-
After Build-Up and Crowns I
Treatment is not yet done here, but you can see the progress. They have finished their whole upper arch, and started on their lower right (shows as left in photo). The patient has had Root canals, build ups, and crowns.
We have planned additional build up and crowns on the lower arch.
-
Before Build-Up and Crowns II
This patient had a pretty rough life, and presented to us with severe wear and decay throughout their entire mouth. There’s significant loss of tooth surface on their upper front anteriors, there’s build up and staining, inflammation of the gums, and their gum line has receded in many areas as well.
-
After Build-Up and Crowns II
This patient’s treatment is not yet finished, but you can see the progress thus far.
In just four treatment visits (not including exam and cleaning), the patient has gotten crown lengthening’s, crowns across the top, and a bridge on the lower right of this photo. They still will receive treatment on the lower left teeth pictured in image, but they look fantastic, and have come such a long way.
-

Before Build-Up, Bridges, and Crowns I
This patient had old silver fillings with decay beneath them & missing teeth.
-

After Build-Up, Bridges, and Crowns II
This photo shows the crowns and bridges that were placed once the fillings and decay were removed.